勇闯“手术禁区” !苏州九院完成一例肝尾状叶切除术

近日,一位77岁的患者携两个儿子将一面写着“医德高尚,妙手回春”的锦旗,送到了苏州九院肝胆胰脾外科,并表达由衷的感谢,感谢肝胆胰脾外科主任袁建毛及全体医护人员精湛的技术和精心的护理。

 

患者几年来反反复复有上腹部的疼痛不适,在家乡某加勒比扑克 诊断为胆囊结石伴胆囊炎,建议行胆囊切除术。由于儿子住在吴江,对苏州九院肝胆胰脾外科的微创手术有一些了解,遂决定在苏州九院手术。

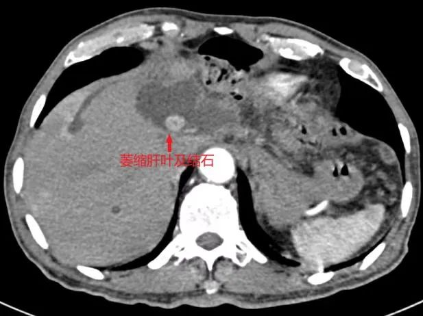
患者入院后,肝胆胰脾外科团队为患者完善了CT、MRCP等检查,发现患者并不是简单的胆囊结石,而是复杂的肝左叶胆管结石伴左肝叶及左尾状叶萎缩。临床上肝内胆管结石反复并发感染,可引起局部肝脏的萎缩、纤维化和功能丧失,甚至癌变。切除病变部分的肝脏,是根治肝内胆管结石的**方法。而肝切除术是非常具有挑战力的手术,手术区域解剖变异多、术中出血不易控制、还有气体栓塞等风险。

 

针对这例复杂的肝内胆管结石,尤其是作为“肝脏手术禁区”的尾状叶切除术,肝胆胰脾外科主任袁建毛组织科室医护人员经过详细的术前讨论,制定了完善的手术方案。在麻醉科曹晖副主任医师的全程精心护航下,经过三个多小时的手术,成功实施了左半肝切除术+左尾状叶切除术+胆囊切除术+经左肝管胆道胆管探查术。术后病理提示:肝脏导管内乳头状肿瘤伴低级别上皮内肿瘤,局部腺体中度异型增生,慢性胆囊炎。在23病区全体医护人员的精心治疗和护理下,患者顺利康复出院。

 

这面锦旗传递的不仅是患者的感激之情,

更是对全体医护人员的鞭策与激励!


苏州九院普外科简介

普外科是江苏省临床重点专科建设单位,是苏州市临床重点专科、苏州市医学重点学科,下设肝胆胰脾外科、胃肠外科、甲乳外科、肛肠外科4个亚专科,5个病区。其中,肝胆胰脾外科也是吴江区临床重点专科,腹腔镜微创手术是本科特色,年开展各类腹腔镜微创手术(腹腔镜肝脏手术、腹腔镜胰腺手术、腹腔镜胆道手术、腹腔镜脾脏手术、腹腔镜腹股沟疝、切口疝手术等)逾2000例,同时对部分不适合腹腔镜微创手术的病例常规开展开放胰十二指肠切除术、左右半肝切除术、胰体尾联合脾脏切除术、高位胆管癌根治术、胆囊癌根治术等高难度四级手术,常规开展MDT指导下的肝胆胰脾肿瘤的规范化根治手术。

肝胆胰脾外科 吴晔峰